Approximately one-third of AML patients harbor kinase activating mutations in FLT3. Several small-molecule first generation FLT3 tyrosine kinase inhibitors (TKIs) have been evaluated in the last two decades, but none could induce a durable response possibly due to poor pharmacokinetics and target selectivity. Second generation FLT3 inhibitors such as, quizartinib, gilteritinib, and crenolanib, were designed for greater selectivity with a narrow kinome-profile and better pharmacokinetic properties, but they failed to induce a durable response. Possibly due to intrinsic resistance conferred by growth factor signaling in the bone marrow resident leukemic cells, which serve as a reservoir to develop resistance resulting to disease relapse. Activation of Jak2 signaling by chemokines and cytokines from the stroma have been reported to confer TKI refractoriness. Recent studies from Martin Carroll's group showed that both GMCSF and IL-3 confer resistance by activating JAK2 signaling, which can be suppressed by combined FLT3 and JAK2 inhibition. However, so far, it is not established whether upfront FLT3/Jak2 inhibition will provide durable response.

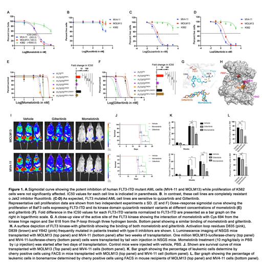
For instance, AML patients who achieved complete remission lacking FLT3-ITD clones showed better overall survival than patients with measurable MRD, suggesting that eradicating the FLT3-ITD clones will have a deeper response with better overall survival. Thus, an ideal FLT3 inhibitor should be able to suppress FLT3-ITD resistant mutants, and growth factor activated JAK2 signaling while sparing c-KIT receptor and hERG to avoid myelosuppression and cardiotoxicity, respectively. Here we show that Jak2 inhibitor, momelotinib, is an equipotent type-I FLT3 inhibitor (Fig 1A-D). Biochemical and structural modeling revealed that it binds to an active conformation of FLT3 kinase. Therefore, like gilteritinib, it efficiently suppresses the resistance conferred by activation loop mutations (Fig1 E-H). Moreover, its lack of activity against c-KIT and inhibition of ACVR1 provides additional benefit in alleviating myelosuppression and anemia, which is commonly observed with currently used JAK2 and FLT3 inhibitors (ruxolitinib, fedratinib, and quizartinib). Perhaps more interestingly, momelotinib efficiently suppressed the disease in a preclinical model of AML using NSGS mice which recapitulates cytokine induce refractoriness as usually observed in clinical setting (Fig1 I-L). Our preclinical data provide evidence that momelotinib is an equipotent dual JAK2/FLT3 inhibitor and suppresses resistance conferred by both activation-loop mutations and growth-factor signaling. These data provide evidence that momelotinib treatment will have clinical activity in FLT3-mutated AML. Thus, warrants its clinical evaluation.

Disclosures

Starczynowski:kurome Inc: Consultancy.

Sign in via your Institution